Главная • Услуги • Протезирование зубов • Микропротезирование
Микропротезирование
Микропротезирование
Микропротезирование зубов – современный метод, который позволяет восстановить даже сильно разрушенные зубы не прибегая к использованию протезов.
Какой вид микропротезирования подходит вам
Цена: от 11 500р.
Металлокерамическая коронка – протез, представляющий собой колпачок, покрывающий обточенный зуб и имеющий цвет и форму, близкие к натуральным.
В основе металлический сплав, безопасный и прочный, покрытый слоем керамики.
Цена: от 26 000р.
Циркониевые коронки (с керамической облицовкой) – протез, состоящий из металла, покрытым слоем керамики.
От металлокерамических зубных коронок их отличает невероятная эстетика, от коронок на основе оксид-циркония – более низкая стоимость при тех же параметрах внешнего вида.
Цена: от 17 000р.
Цельноциркониевые коронки (фрезерованные) — протез, состоящий из матового, полупрозрачного материала. Циркониевые коронки считаются одними из самых надежных и практически не имеют противопоказаний к установке. Это безметалловая керамика, которая, в отличие от металлокерамики, не имеет внутри металлического каркаса.
Цена: от 2500р.
Временная коронка – протез, который устанавливается на небольшой промежуток времени на препарированный зуб или вживленный имплантат. Как правило, это требуется на период изготовления постоянного протеза. Временное решение позволяет защитить мягкие ткани, обеспечить эстетичность, предупредить смещение зубов, болезненность и воспалительные реакции.
Цена: от 8000р.
Металлопластмассовая коронка – протез, состоящий из металлического основания и пластмассового покрытия. Пользуются большой популярностью среди населения благодаря своей невысокой стоимости. Но имеют небольшой срок службы – около трех лет.
Цена: от 7000р.
Металлическая коронка – протез на основе металла или металлосплава. Используется в качестве самостоятельной структуры или в составе мостовых конструкций. В современной стоматологии этот вид коронок постепенно уступает место более эстетичным материалам, но благодаря низкой цене и прочности все еще пользуется спросом.
Преимущества протезирования в стоматологии эскулап

2 часа

процедура

2 посещения

5 - 8 лет

на 12 месяцев

на 400 000 рублей

1 год
Установим любые зубные коронки
Керамические
Германия- Гарантия на работу
- Гарантия на коронку 1 год
- Рассрочка на 12 месяцев без процентов
- Результат за 2 посещения
Циркониевые
Германия- Гарантия на работу
- Гарантия на коронку 1 год
- Рассрочка на 12 месяцев без процентов
- Результат за 2 посещения
Металлокерамические
Германия- Гарантия на работу
- Гарантия на коронку 1 год
- Рассрочка на 12 месяцев без процентов
- Результат за 2 посещения
Металлопластмассовые
Германия- Гарантия на работу
- Гарантия на коронку 1 год
- Рассрочка на 12 месяцев без процентов
- Результат за 2 посещения
Металлические
Германия- Гарантия на работу
- Гарантия на коронку 1 год
- Рассрочка на 12 месяцев без процентов
- Результат за 2 посещения
Временные
Германия- Гарантия на работу
- Гарантия на коронку 1 год
- Рассрочка на 12 месяцев без процентов
- Результат за 2 посещения
Цены на зубные коронки
НАИМЕНОВАНИЕ УСЛУГИ | СТОИМОСТЬ |
|---|---|
Циркониевые коронки (с керамической облицовкой) | 26 000 руб. |
Цельноциркониевые коронки (фрезерованные) | 17 000 руб. |
Металлокерамические коронки | 11 500 руб. |
Металлопластмассовые коронки | 8000 руб. |
Металлические коронки | 7000 руб. |
Временные коронки | 2500 руб. |
Способы оплаты
Если вы ищете где получить надежное стоматологическое лечение бизнес-класса, то вы попали по адресу.
У нас вас ждет сервис и удобные способы оплаты способные удовлетворить всех.

Наличная оплата

Оплата по карте

Рассрочка

Кредит
Профильные специалисты
Стоматолог – терапевт, ортопед.
Опыт работы более 15 лет.
Стоматолог – терапевт, ортопед.
Опыт работы более 13 лет.
Отзывы об услуге протезирование зубов
Так же вы можете оставить отзыв о услуге дентальная имплантация и ознакомиться с другими отзывами о наших специалистах на сторонних ресурсах.
Отзывы о клинике

общее
количество отзывов

Павел
С возрастом увеличилась чувствительность зубов, стёрлась эмаль. Спасли коронки из диоксида циркония. Огромное спасибо Эрнесту! Такого внешнего результата я не ожидал – очень доволен!
О враче
Хачатуров Эрнест Георгиевич
Услуга
Протезирование зубов

Елена
Ставила металлокерамику, т.к. по финансам была ограничена. Но ниразу не пожалела!! Быстро. Сравнительно недорого. Смотрятся эстетично. Минусов для себя не обнаружила.
О враче
Комаровский Игорь Николаевич
Услуга
Протезирование зубов
Установка керамических коронок на нижнюю
Пример установки керамических коронок из диоксида циркония и цельноциркониевых коронок...
Установка керамических коронок на две
Пример установки керамических коронок на две челюсти из диоксида циркония
Керамические коронки на каркасе из
Пример работы установки керамических коронок на каркасе из диоксида циркония...
Металлокерамические коронки с опорой на
Пример работы установки металлокерамических коронок с опорой на импланты
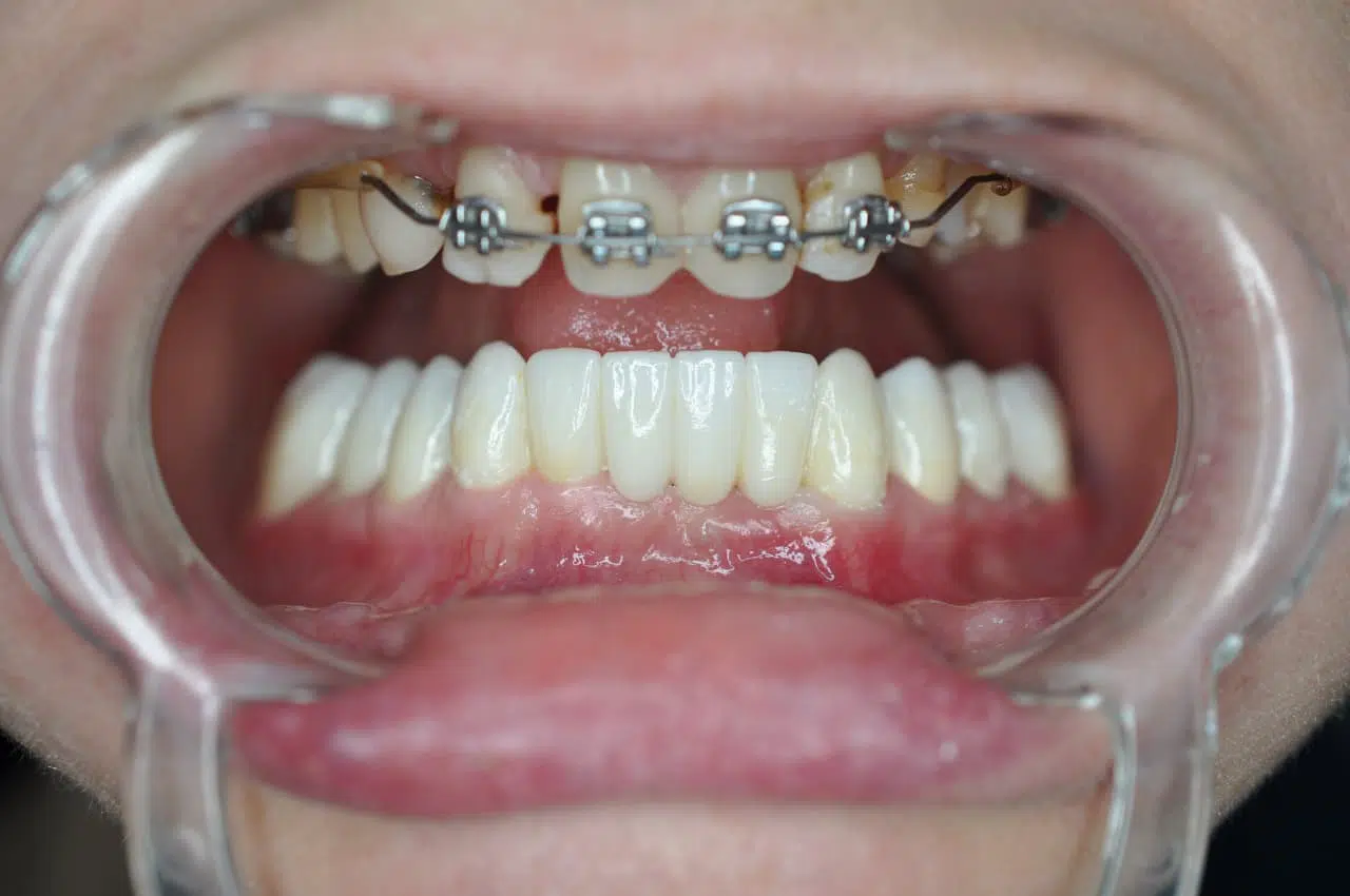
Цельноциркониевые коронки на нижнюю челюсть
Пример работы установки цельноциркониевой коронки на нижнюю челюсть






